こんにちは。大阪府八尾市にある医療法人甦歯会 もりかわ歯科志紀診療所です。
「すきっ歯はマウスピース矯正で治療できるの?」と、疑問をお持ちの方もいるのではないでしょうか。すきっ歯とは、歯と歯の間に隙間ができている状態のことです。
見た目が損なわれるだけではなく、すき間に食べ物が詰まりやすく、虫歯や歯周病の原因になります。そのため、すきっ歯を治したいとお考えの方も多いでしょう。
この記事では、マウスピース矯正ですきっ歯を改善できるのかどうか解説します。また、マウスピース矯正ですきっ歯を治療するメリットやデメリット、治療にかかる費用、期間などもご紹介しますので、ぜひ参考にしてください。
目次
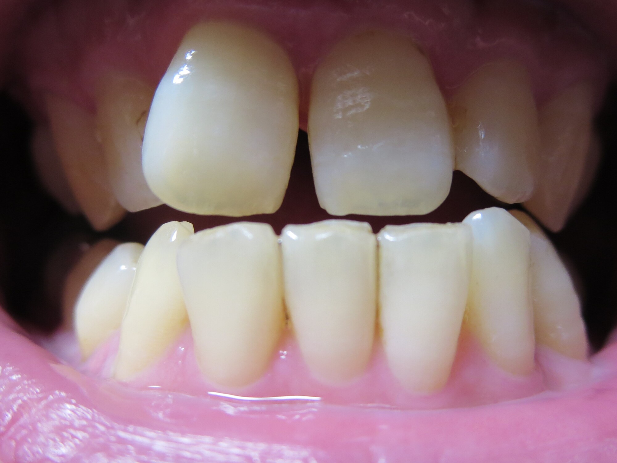
すきっ歯とは

すきっ歯とは、医学的には空隙歯列(くうげきしれつ)と呼ばれる状態で、歯と歯の間に隙間が空いている歯並びのことです。特に、前歯2本の間に隙間がある状態を正中離開(せいちゅうりかい)と呼びます。
乳歯から永久歯に生え変わる時期の子どもに多くみられる歯並びですが、永久歯は乳歯よりも大きいので、生え替わりが進めば自然と隙間が閉じることが多いです。しかし、永久歯が生え揃ったあとも隙間が残っている場合、矯正治療が検討されます。
すきっ歯になる主な原因としては、歯が小さいことや顎が大きいことが挙げられます。また、指しゃぶりなどの癖が原因で歯並びが乱れ、すきっ歯になることもあるでしょう。
マウスピース矯正ですきっ歯は治療できる?

マウスピース矯正は、空いた歯の隙間を少しずつ埋めて歯並びを整えることが可能です。軽度~中等度までのすきっ歯であれば、マウスピース矯正で十分に改善できる可能性が高いでしょう。
ただし、すきっ歯の原因や程度によってはマウスピース矯正では対応できないこともあります。そのため、まずは歯科医師の診察を受けてみることが大切です。
マウスピース矯正で治療するメリット

すきっ歯を治療する方法にはさまざまなものがありますが、その中でもマウスピース矯正は他の治療法にはないメリットがあります。ここでは、マウスピース矯正ですきっ歯を治療するメリットを紹介します。
目立たない
マウスピース矯正ではプラスチック製の透明な装置を使用するため、目立ちにくいです。周囲に知られずに矯正できるのは、ワイヤー矯正にはないメリットです。そのため、学生や社会人、接客業など人と接する機会の多い方によく選ばれています。
取り外しが可能
マウスピース矯正はワイヤー矯正とは異なり、患者さまご自身で装置を取り外すことができます。そのため、食事に関する制限がほとんどなく、好きな食べ物を楽しめます。また、食後の歯磨きやお手入れもしやすいです。
痛みや違和感が少ない
ワイヤー矯正では歯に直接装置を取り付けるため、慣れるまで口内に違和感や痛みが生じやすいです。一方で、マウスピース矯正の装置は歯列にぴったりとフィットすることが多く、ゆっくりと歯を動かすため痛みが少ない傾向にあります。特に、痛みが苦手な方にとっては、大きなメリットといえるでしょう。
マウスピース矯正で治療するデメリット

多くのメリットのあるマウスピース矯正ですが、デメリットもあります。マウスピース矯正のデメリットは、以下のとおりです。
装着時間を守る必要がある
マウスピース矯正は装置の取り外しが可能な反面、患者さまご自身で装着時間を管理する必要があります。1日20~22時間以上の装着が必要であり、装着時間を守らないと十分な治療効果が得られないことがあります。
自己管理が苦手な方や、忙しくて装着時間を守れない方の場合は、計画どおりに治療が進まない可能性があるでしょう。
お手入れが必要
治療に使用するマウスピースは、毎日洗浄したり定期的に交換したりする必要があるため、お手入れが面倒だと感じる方もいらっしゃいます。マウスピースの洗浄が不十分な場合、汚れや細菌が繁殖することがあります。その結果、口臭が発生したり虫歯や歯周病になったりするリスクが高まります。
また、口内に汚れが残った状態でマウスピースを装着することはできないので、毎食後に歯磨きをしっかりと行わなければなりません。
治療完了まで時間がかかる
マウスピース矯正以外の矯正方法にもいえることですが、歯の矯正治療にはどうしてもある程度の時間がかかります。部分矯正の場合などは短い期間で済むこともありますが、すき間の広さや歯並びの乱れ具合によっては、理想の歯並びになるまで長期間かかることがあります。
治療に対するモチベーションを維持し、最後までやり遂げることが大切です。
マウスピース矯正で治療するのにかかる期間

すきっ歯をマウスピース矯正で治療するのにかかる期間は、部分矯正で3か月〜1年、全体矯正では1年〜3年が目安です。マウスピース矯正の治療期間は、歯の動きやすさや歯並びの状態によって異なります。
例えば、歯と歯の間の隙間が小さい場合は短期間で治療でき、隙間が大きいほど治療に時間がかかるでしょう。歯の動きがスムーズに進めば、短期間で治療が完了する場合があります。
一方で、予定どおりに歯が動かない場合は期間が延びるリスクもあります。スムーズに治療を進めるためには、毎日決められた時間マウスピースを装着し、通院スケジュールを守ることが大切です。
マウスピース矯正で治療するのにかかる費用

マウスピース矯正でのすきっ歯治療にかかる費用は、治療する範囲や使用するブランド、必要な治療期間によって大きく異なります。一般的には、前歯の軽度なすきっ歯であれば部分矯正が可能で、費用は20万~50万円程度が目安です。全体矯正が必要なケースや噛み合わせの調整を伴う場合には、費用が60万円~100万円程度に及ぶこともあります。
自由診療となるため保険は適用されず、全額自己負担となる点は理解しておきましょう。
上記の金額にはマウスピースの作成費用に加え、診断料や経過観察料、装着指導料などが含まれる場合があります。ただし、診断料などが個別に設定されていて、別途かかる場合もあります。そのため、治療開始前にトータルコストを確認することが大切です。
複数の歯科医院で見積もりを取って比較することも、費用面での負担を抑えるうえで重要です。
マウスピース矯正ですきっ歯を治療する流れ

まずはカウンセリングや検査を行い、マウスピース矯正による治療が可能かどうか確認します。治療可能と判断された場合は、治療の計画を立てます。治療計画に納得したら、オーダーメイドでマウスピースを作成して矯正治療開始です。装着時間や交換時期などを厳守しながら、段階的に歯を動かしていきます。
治療中も定期的に通院し、歯の動きをチェックしながら必要に応じて微調整を加えます。そして、隙間が埋まったのが実感できたら、矯正は終了です。
ただし、その後も保定期間が設けられます。矯正した直後の歯は安定しておらず、そのままにしていると元の位置に戻ろうとする力が働きます。動かした歯を矯正後の位置で安定させるためには、保定装置(リテーナー)を装着することが重要です。
また、保定期間が終了した後も定期的にメンテナンスを受けることが大切です。定期検診を受けていれば、虫歯や歯周病などのトラブルを予防したり早期発見したりすることができるようになります。
まとめ

すきっ歯は、マウスピース矯正で治療できることが多いです。マウスピースの種類や歯並びの状態によっては、部分矯正で対応できる可能性もあります。また、マウスピース矯正は、ほかの矯正方法にはないメリットがたくさんあります。
ただし、装着時間をしっかり守らないと治療がスムーズに進まなくなる場合もあります。メリットだけでなく、デメリットについてもしっかり理解したうえで治療を受けることが大切です。
すきっ歯でお悩みの方は、大阪府八尾市にある歯医者「医療法人甦歯会 もりかわ歯科志紀診療所」にお気軽にご相談ください。
当院では、虫歯・歯周病治療、インプラント、セラミック治療、ホワイトニング、歯科矯正など、さまざまな診療を行っています。ホームページはこちら、予約・お問い合わせも受け付けておりますので、ぜひご活用ください。






