こんにちは。大阪府八尾市にある医療法人甦歯会 もりかわ歯科志紀診療所です。
虫歯治療や歯の修復において、詰め物は欠かせない存在です。
歯科医院で治療を受ける際には、保険適用のものから自費診療の高品質なものまで、多くの選択肢が提示されることが一般的です。それぞれの素材には異なる特徴があり、耐久性や見た目、費用などによって選び方も変わってきます。
この記事では、詰め物の主な種類とそれぞれの特徴、選び方について詳しく解説します。
歯の詰め物とは

歯の詰め物とは、虫歯の治療で削った歯の一部を補うために装着される補綴物のことです。
虫歯治療では、感染した部分をしっかりと取り除く必要がありますが、その後の隙間をそのままにしておくと、再び細菌が入り込み、再発する可能性が高まります。そうしたリスクを防ぎ、噛む力や見た目を補うのが詰め物の役割です。
また、歯の強度を保つ意味でも重要で、欠けた部分を補強することで、歯全体のバランスと安定性を維持できます。
歯の詰め物の種類

虫歯治療で使われる詰め物には、複数の素材があり、それぞれ特徴が異なります。見た目の自然さを重視したもの、強度を重視したもの、費用を抑えやすいものなど、選択肢はさまざまです。
ここでは、代表的な歯の詰め物の種類について、それぞれの違いがわかるように解説します。
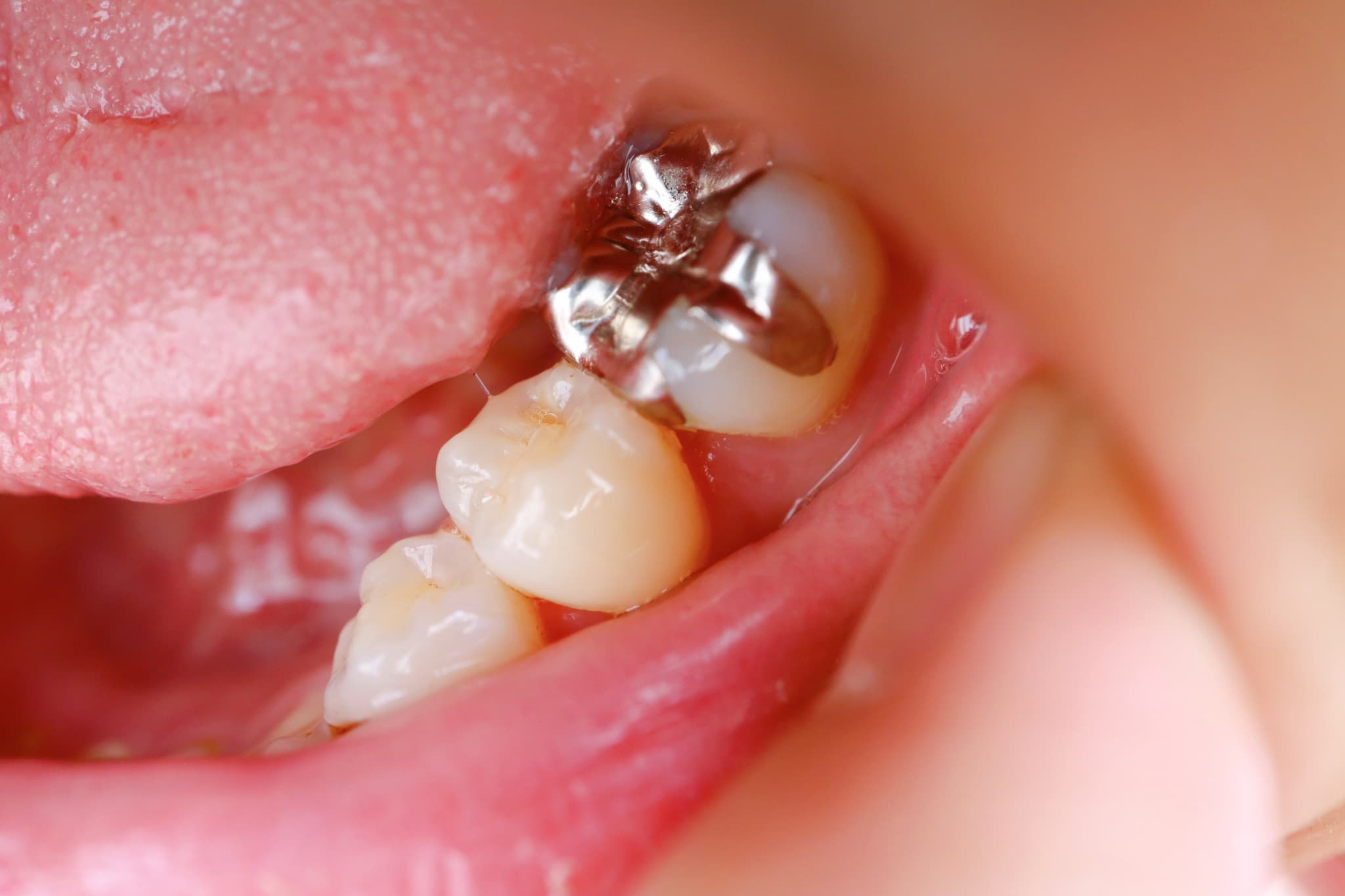
銀歯
銀歯は、保険診療で使用される金属製の詰め物です。強度が高く、奥歯など噛む力が強くかかる部位にも使われています。
ただし、銀色をしているため、口を開けたときに目立つことがあり、見た目を気にする方には不向きかもしれません。また、長期間使用すると金属イオンが溶け出して歯ぐきが黒ずんだり、金属アレルギーの症状が現れたりする可能性もあります。
コンポジットレジン
コンポジットレジンは、歯の色に近いプラスチック素材を使用した詰め物です。保険が適用されるため費用を抑えやすく、1回の通院で治療が完了することが多い点がメリットです。前歯や小さな虫歯に使用されることが多く、自然な見た目を重視する方に選ばれています。
ただし、プラスチック素材のため、金属と比べると耐久性はやや劣ります。長期間の使用で変色やすり減りが起こることもあります。そのため、奥歯など強い力がかかる部位には向いていない場合があります。
オールセラミック
オールセラミックは、金属を一切使わず、すべてセラミックだけで作られた素材です。自然な白さと透明感があるため、前歯のように目立ちやすい場所にもよく使われます。光が透けるため、まるで本物の歯のように自然な見た目に仕上がります。
また、金属を使っていないので、歯ぐきが黒ずんだり、アレルギーの症状が現れたりする心配もありません。見た目や安全性を重視したい方には、とても人気のある素材です。
ジルコニア
ジルコニアは、非常に硬くて丈夫なセラミック素材です。強度が高いことから、奥歯のように強い力がかかる部分の詰め物として使われることが増えています。見た目は白く、金属を使わないため、口を開けたときに金属色が見える心配がありません。
また、金属を含まないため、金属アレルギーが気になる方にも選択肢の一つとなります。さびたり変色したりしにくい点も特徴です。
一方で、とても硬い素材であるため、噛み合わせの調整が不十分な場合には、噛み合う歯に負担がかかることがあります。そのため、装着前には丁寧な設計と調整が大切です。強さと白さを兼ね備えた素材として、機能面を重視する場面で用いられています。
e-max
e-maxは、ガラスセラミックを強化して作られた白い素材です。自然な歯のような透明感があり、光を通す性質があるため、周囲の歯とよくなじみます。特に前歯や小臼歯など、見た目が気になる部分に使われることが多い素材です。
見た目の美しさだけでなく、一定の強度も備えているため、日常的な噛む力にも対応できます。色の再現性が高く、細かな色調の調整がしやすい点もメリットの一つです。
ただし、非常に強い力がかかる奥歯や、歯ぎしりの癖がある場合には、ほかの素材が検討されることもあります。
ハイブリッドセラミック
ハイブリッドセラミックは、セラミックと歯科用プラスチックを組み合わせて作られた素材です。セラミックの白さと、プラスチックのやわらかさをあわせ持つ素材といえます。見た目は白く、金属を使わないため、口を開けたときにも自然な印象になりやすいのが特徴です。
純粋なセラミックよりもやや弾力があるため、噛み合う歯への負担を抑えやすいとされています。また、セラミック素材のなかでは費用が抑えられることも特徴の一つです。
ただし、長く使ううちに表面がすり減ったり、色が変わったりすることがあります。
歯の詰め物を選ぶときのポイント

歯の詰め物を選ぶ際は、単に見た目や費用だけでなく、ライフスタイルや口腔内の状態まで考慮することが大切です。ここでは、歯の詰め物を選ぶときのポイントを具体的に解説します。
見た目
詰め物の素材によって、仕上がりの印象は大きく変わります。白いセラミック系の素材は、天然の歯に近い色や透明感を再現しやすく、周囲の歯となじみやすい特徴があります。前歯など人から見えやすい部分では、色合いが自然かどうかが重要になります。
一方、銀歯のような金属素材は強度に優れていますが、口を開けたときに金属色が見えることがあります。治療する歯の位置や、口元の見え方を考慮して選ぶことがポイントです。
耐久性・強度
歯の詰め物を選ぶ際、耐久性や強度はとても大切なポイントです。奥歯には強い噛む力がかかるため、素材が丈夫でないと欠けたり割れたりすることがあります。ジルコニアのように強度が高い素材は、力のかかりやすい部位に使われることが多いです。
一方、コンポジットレジンやハイブリッドセラミックはやややわらかく、長期間の使用ですり減ることがあります。
また、歯ぎしりや食いしばりの癖がある場合は、より強度を重視する必要があります。見た目だけでなく、噛み合わせや生活習慣も踏まえて素材を選ぶことが重要です。
費用
歯の詰め物を選ぶときは、費用についても事前に確認しておくことが大切です。
詰め物には保険診療と自費診療があり、それぞれで自己負担額が大きく異なります。保険診療の場合、自費診療に比べると費用は抑えられますが、使用できる素材には限りがあります。
一方、自費診療ではセラミックなど高品質な素材を選ぶことができますが、全額自己負担となるため費用は高くなる傾向があります。見た目や耐久性とあわせて、予算とのバランスを考えながら検討することが重要です。
金属アレルギーの有無
歯の詰め物を選ぶ際には、金属アレルギーがあるかどうかも大切な確認ポイントです。銀歯などの金属を使った素材では、体質によってかゆみや湿疹などの症状が出る場合があります。口の中だけでなく、手足や全身に症状が現れることもあるため注意が必要です。
過去にアクセサリーや金属製品でかぶれた経験がある方は、歯科治療でも配慮が必要になることがあります。そのような場合は、金属を使用しないセラミック系の素材が選択肢に入ります。不安がある場合は、治療前に歯科医師へしっかり伝えることが大切です。
まとめ

歯の詰め物には、保険診療の銀歯やコンポジットレジン、自費診療のオールセラミックやジルコニア、e-max、ハイブリッドセラミックなど、さまざまな種類があります。それぞれ見た目や強度、費用などに違いがあり、重視するポイントによって選択肢は変わります。
大切なのは、素材ごとの特徴を理解し、自分の歯の状態や生活習慣、予算などを踏まえて考えることです。
詰め物は毎日の食事や会話を支える大切な存在であり、長期間にわたって口の中で機能します。疑問や不安があれば歯科医師に相談し、納得したうえで素材を選ぶことが、将来の口腔環境を守る第一歩となります。
審美歯科治療を検討されている方は、大阪府八尾市にある歯医者「医療法人甦歯会 もりかわ歯科志紀診療所」にお気軽にご相談ください。
当院では、虫歯・歯周病治療、インプラント、セラミック治療、ホワイトニング、歯科矯正など、さまざまな診療を行っています。ホームページはこちら、予約・お問い合わせも受け付けておりますので、ぜひご活用ください。

































































